

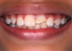
Dr Kan recently helped a patient restore her smile after she chipped her upper front tooth in a fall. The small but noticeable chip affected her confidence, and she sought an immediate solution. Given her young age as a teenage patient, Dr Kan recommended an anterior esthetic restoration instead of a full-coverage crown.
With his skills and knowledge in esthetic restoration, Dr Kan applied composite resin and carefully sculpted the material to match the shape and color of the surrounding teeth. After curing, the final restoration was polished to perfection, giving it a smooth, glossy finish that mimicked the natural luster of the patient’s enamel. The result was a flawless, undetectable repair that instantly revitalized her smile.
The patient left beaming with confidence, delighted by the natural look and feel of her newly restored tooth. Dr Kan’s approach proved the power of modern cosmetic dentistry to transform not just a smile, but a patient’s self-esteem. This case highlights Dr Kan’s expertise in crafting personalized, aesthetically pleasing restorations with lasting results.
“Dr Kan was amazing from the beginning. He took his time to explain options available for me. I did not feel rushed. He was clearly genuine and passionate about his craft. Dr Kan also took his time to get to know me and allowed me to make my decision based on his options provided for my treatment.” – Testimony from patient
Reach out to us at +6012 624 5688 or https://smilebaydental.com/contact-us/ for an appointment.