
A confident smile can significantly impact your personal and professional life. However, damaged, decayed, or worn teeth can undermine your self-esteem and functionality. Thankfully, dental crowns provide a solution that restores both the appearance and function of your teeth, giving you back a smile you can be proud of.
What Are Dental Crowns?
Dental crowns are tooth-shaped caps placed over a damaged or weakened tooth to restore its shape, strength, and appearance. They are commonly used to protect weakened teeth, restore a broken tooth, cover a discolored or misshapen tooth, or replace an old dental restoration like a bridge.
Crowns not only improve the aesthetic appearance of a tooth but also help restore its proper function, allowing you to chew and bite without discomfort. They can also be used to support a dental bridge or implant, ensuring the full restoration of your smile.
Case Study: Dr. Khoo’s Work with Dental Crowns
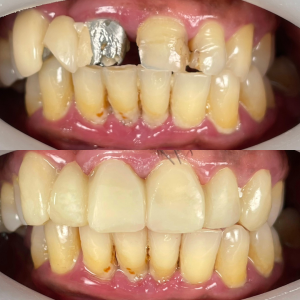
Dr. Khoo, our skilled dentist recently treated a middle-aged patient named John, who had been living with an old dental bridge that had become both unattractive and uncomfortable. Over time, John’s bridge began to discolor, and it no longer fit properly, making it increasingly difficult for him to chew or speak comfortably.
After assessing John’s condition, Dr. Khoo recommended replacing the old bridge with a set of new dental crowns. Using advanced digital technology, she took precise 3D scans of John’s teeth, ensuring the new crowns would fit perfectly. The crowns were custom-designed to match the colour and shape of John’s natural teeth, blending seamlessly for a natural look and feel.
The Importance of Dental Crowns in Restorative Dentistry
Dental crowns are an essential part of restorative dentistry, addressing both functional and cosmetic concerns. They help restore the strength of a damaged tooth, allowing it to perform its role in chewing and biting without causing discomfort. Crowns also protect teeth that have been weakened by decay, fractures, or injury, preventing further damage and the need for more invasive treatments.
In addition to their functional benefits, dental crowns can dramatically improve the appearance of discolored, chipped, or misshapen teeth. With the ability to match the shade and contour of natural teeth, crowns provide an effective way to restore a beautiful and confident smile.
If you’re struggling with damaged or worn teeth, dental crowns may be the right solution for you. Book an appointment with us at +6012 624 5688 or https://smilebaydental.com/contact-us/ for an appointment.